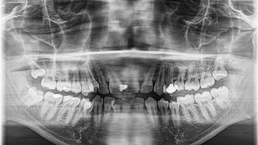
OPG
An OPG (Orthopantomagram) is a panoramic scanning dental X-ray of the upper and lower jaw. It shows a flattened two-dimensional view of a half-circle from ear to ear. Panoramic x-rays allow images of multiple angles to be taken to make up the composite panoramic image, where the maxilla (upper jaw) and mandible (lower jaw) are in the viewed area. The structures that are outside the viewed area are blurred. At some stage in your dental treatment, your dentist will likely take an OPG.
An OPG can be used to look for Fractures, Dislocated jaw, Infection, Dentition (teeth). It can also be used for surgical planning.
- Fractures
- Dislocated Jaw
- Infection
- Dentition (Teeth)
- It can also be used for surgical planning.
Why choose Us ?
Trust Imaging has more than 20+ years of experience in this field. We offer top-quality OPG X-Ray with minimized radiation and high-class technology. Your OPG test will be done by a professional and experienced Radiologist Technician. It offers best price to our patients.